DISCO-SCANNER
indications, technique, trucs et astuces, interprétation

indications, technique, trucs et astuces, interprétation
N AMORETTI, P.BROWAEYS,N POUSSANGE, PY MARCY, ME AMORETTI, I HOVORKA,L.COCO, T.BENZAKEN, N.BRONSARD, O HAUGER Mots clefs : Spine; CT; discography
La discographie test a été décrite pour la première fois par Lindblom (1) en 1940, cet examen a connu de nombreuses controverses quant à ses indications et interprétations.En l’absence du scanner, la discographie était réalisée pour détecter la présence d’une hernie discale, cette indication a disparue depuis l’avènement de l’imagerie en coupe.Cet examen voit un regain d’intérêt ces dernières années dans les centres d’orthopédie et de neurochirurgie avec l’apparition de nouvelles interventions telles que la mise en place de prothèses discales ou la réalisation de procédures intra-discales (2).Les étiologies de douleurs lombaires sont multiples, il peut être parfois très difficile d’en déterminer la cause et l’étage concerné et ce malgré l’évolution de l’imagerie en coupe.En effet, des terminaisons nerveuses nociceptives existent au niveau de l’annulus, des surfaces latérales du disques, du ligament longitudinal postérieur et du ligament jaune. Autant de structures pouvant être à l’origine de douleurs lombaires. (3) . Le but de la discographie est de confirmer l’origine discale de la douleur : douleur discogénique, et d’en déterminer le niveau.La notion de reproduction de la douleur au cours de l’examen est capitale : elle doit être strictement identique à la plainte du patient.L’arrivée du scanner et en particulier du discoscanner a considérablement modifié l’intérêt de cet examen en apportant des critères morphologiques plus exhaustifs en termes de fissuration et de contenance discale.L’objectif de cet article est de préciser les indications et intérêts de cette technique et savoir interpréter les résultats morphologiques et fonctionnels (provocatifs) de cet examen.
La premiere question posée par nos confrère chirurgiens est la notion de douleur discogénique pouvant être relative aux souffrances du patients, les symptômes devant faire évoquer une cause discale sont des douleurs lombaires exacerbées par la charge prolongée, des douleurs lombaires exacerbées par la position assise prolongée ou des lombalgies sans topographie radiculaire (absence de cruralgie ou sciatalgie). De plus des patients pour lequel le niveau de fusion intersomatique n’a pas été déterminé ni par l’IRM ni par le scanner peuvent bénéficier de ce type d’examen, très informatif sur le niveau à traiter.
De même des patients pour lesquels la fusion intersomatique par arthrodèse s’est révélée inefficace ou souffrant de nouvelles douleurs lombaires faisant suspecter un autre niveau somatique non déterminé par l’IRM ou le scanner.La réalisation d’un discoscanner fait partie des bonnes pratiques du bilan pré-opératoire avant mise en place d’une prothèse discale pour confirmation du niveau lésionnel.Le discoscanner est aussi réalisé en première étape des traitements mini-invasifs intra-discaux percutanés : nucleoplasty, IDET, chimionucléolyse, herniectomie, nucléotomie laser…
Les contre-indications sont classiques et concernent de façon non spécifiques les gestes percutanés du rachis avec notamment les troubles de la coagulation ( TP < 70%, thrombopénie < 100 000, TCA > 40 secondes), les infections, les femmes enceintes et les antécédents de discectomie à l’étage suspecté.
Materiel :
L’anesthésiant utilisé est un amino-acide classique type lidocaine (1%), nous utilisons une aiguille Chiba 22 gauges 15 cm (thiebaud, France), une seringue luerlock 3ml et un produit de contraste non ionique à injection sous arachnoïdienne 300 mg I/mlLes infectiologues de notre institution nous conseillent l’absence de préscription d’antibiothérapie préventive.
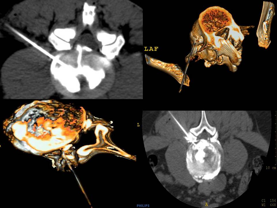
Cet examen est réalisé en ambulatoire chez un patient ayant un bilan sanguin comprenant une numération de la formule sanguine, un bilan d’hémostase (TP, TCA, plaquettes), et un bilan inflammatoire (VS, CRP).Le patient doit être accompagné pour son retour à domicile.Dans notre service nous disposons d’un scanner et d’un arceau de scopie (figure 1), l’ensemble de la procédure est donc réalisée sous double guidage pour des raisons de commodité. Cependant, la première étape diagnostique peut être réalisée sous scopie seule puis passage du patient au scanner pour l’analyse morphologique du disque. Le patient est positionné en décubitus ventral avec mise en place d’un billot abdominal pour diminuer la lordose lombaire.Une désinfection par chaine bétadinée est réalisée sur l’ensemble de la zone à explorer. Nos patients ne sont pas sédatés de façon à pouvoir répondre précisément aux questions posées pendant l’examen.Le point de ponction est toujours contro-latéral à la douleur ressentie par le patient afin de diminuer les faux positifs. La voie d’abord est facile pour les disques de L1 à L5 : le point de ponction est à environ un travers de main de la ligne mediane, le niveau à explorer est localisé sous scopie (figure 2) (4) .Un scanner volumique permet de repérer l’émergence radiculaire et déterminer aisément l’angle de la voie d’abord (figure 3). Le scanner pré-discographie n’est pas obligatoire il facilite seulement le guidage. Sous scopie, le rayon de profil strict doit parfaitement aligner le disque à opacifier. Après anesthésie locale (xylocaine 1%) l’aiguille Chiba est positionnée latéralement parallèle au plateau vertébral supérieur de la vertèbre inférieure. L’aiguille progresse sous scopie itérative en passant par la portion inférieure du foramen afin d’éviter les structures nerveuses. L’angle d’approche est d’environ 45° par rapport à la ligne médiane (figure 2).
A l’étage L5-S1 l’approche peut se révéler plus délicate surtout en cas de disque encastré entre les crêtes iliaques obstruant le trajet de l’aiguille.La voie d’abord toujours parallèle aux plateaux vertébraux peut être plus haute que L4-L5 compte tenu de l’angulation de L5-S1 dans le plan sagittal (figure 5). Une acquisition volumique scanner avec reconstruction permet de facilement planifier le trajet de l’aiguille. Sous scopie, une angulation cranio-caudale permet de dégager un triangle formé par le plateau inférieur de L5, le processus articulaire supérieur de S1 et la crête iliaque, l’aiguille devant passer à travers ce triangle. Pour faciliter l’accès et la pénétration dans le disque l’aiguille pourra être courbée. (figure 4).Dans certain cas nous utilisons une voie postéro-médiane transdurale ou latéro-durale, le scanner permettant de déterminer une voie d’abord entre le sac dural, la racine et le disque (figure 6).Le contact de l’extrémité de l’aiguille avec le disque présente une résistance avec un aspect rénitent pouvant entrainer une douleur modérée (innervation des fibres de Sharpey) puis la progression dans le disque devient plus facile. La confirmation du bon positionnement de l’aiguille au centre du disque se fait par une coupe scannographique ou sous scopie par une incidence antéro-postérieure.Une deuxième aiguille est positionnée à un autre niveau considéré non pathologique pour servir de disque contrôle.L’injection de produit de contraste intra-discal débute rayon perpendiculaire au disque. Le patient n’est pas informé du niveau discal injecté. Nous commençons par le disque non pathologique afin d’évaluer le niveau de douleur et la tolérance du disque contrôle pour limiter les faux positifs (figure 7).L’injection se fait lentement à la seringue luer lock en repérant le volume injecté.
L’injection est arrêtée dès que la douleur typique du patient est ressentie. On note ainsi le volume nécessaire à la reproduction de la douleur. L’injection est aussi arrêtée lorsque le noyau est opacifié et que l’on note une résistance significative sans reproduction de la douleur (environ 2-3cc).De même lorsqu’il existe une fissuration annulaire avec opacification épidurale (au delà de 3cc) l’injection est stopée.Nous injection dans certains cas 0,5 cc de naropéïne en intra-discal, nous verrons l’intérêt relatif de cette injection lors du paragraphe interprétation.Le radiologue doit contrôler l’absence d’opacification de l’annulus sur les clichés de face ou sur le scanner, l’injection dans l’anneau se faisant avec résistance.Certaines équipes utilisent un manomètre pour quantifié la pression en PSI nécessaire à la reproduction de la douleur, dans notre expérience ce type de matériel n’est pas indispensable aux critères d’évaluation du disque.L’interrogatoire du patient pendant la procédure est primordial :sensation de douleur ou de pression,localisation de la douleur,intensité de la douleur , caractéristiques de la douleur : identique à celle ressentie ou atypique.La douleur doit être considérée comme concordante pour juger d’une discographie positive.
Une acquisition volumique par tomodensitométrie est ensuite réalisée (le délai entre l’injection et le scanner ne doit pas dépasser 30 minutes). Les reconstructions multiplanaires permettent une analyse parfaite des fissures annulaires et de l’état discal.
Le discoscanner informe sur de nombreux points de la pathologie discale, son interprétation est divisée en plusieurs partie : Comme pour une arthrographie on évalue la capacité discale : celle du disque sain n’excède pas 3 ml. Un disque fissuré a une contenance pouvant être illimitée par fuite de produit de contraste en épidural.Aussi, la spécificité de cet examen est la confirmation du niveau lésionnel par provocation de la douleur ressentie par le patient en notant le territoire et le type de douleur qui doit être identique à celle ressentie habituellement. Cette douleur doit être considérée comme concordante à la clinique du patient pour juger d’une discographie positive.L’injection du disque sain est en règle indolore, la douleur banale ressentie sert de référence à la tolérance de l’examen.
Cette étape est la plus importante de l’examen : nous pouvons diviser de manière semi-quantitative cette phase de l’examen :
Le scanner permet une étude morphologique des lésions intra-discales. Le protocole tomodensitométrique comprend une acquisition volumique millimétrique sur l’ensemble du rachis lombaire avec reconstructions multiplanaires. L’aspect du disque est variable en fonction de l’évolution de sa dégénérescence :son aspect normal présente un nucleus ovoide d’environ 2cc de volume, son remplissage est indolore (figure 8). Dès l’âge 20 ans, une plaque fibreuse intra-nucléaire apparait réalisant un aspect en grain de café du noyau (figure 9).La dégénérescence discale débute par un aspect étalé du nucléus sur un disque pincé (figure 10).
L’analyse des fissures peut être classée en 5 grades selon la classification de Dallas modifiée (5) :
Une hernie discale exclue donc sans contact avec le nucleus intra-discal ne sera pas opacifiée.Dans notre pratique quotidienne, nous n’utilisons pas cette classification car peu connue de nos confrères neurochirurgiens ou orthopédistes, nous restons descriptifs sur l’étendue de la fissure sans la graduer. Cette classification a néanmoins le mérite de quantifier l’état de la lésion annulaire. Dans certains cas, 0,5ml de naropéïne peut être injecté en intra-discal. Le patient doit noter l’évolution de sa douleur dans les heures qui suivent l’examen et les 2 jours suivants. Une amélioration de sa symptomatologie par l’anesthésiant intra-discal est en faveur de l’origine discogénique de la symptomatologie .Ce point est très controversé, car peu reproductible devant l’aspect subjectif de l’évolution de la douleur ainsi que de l’effet placebo de cette procédure intra-discale.
En résumé l’interprétation d’un discoscanner se fait en 3 parties :
Références